May 9, 2025

We’ve seen first-hand how often people are unsure—or downright misinformed—about what composite bonding actually involves. While the treatment has gained popularity in London and beyond, thanks to its cosmetic appeal, it’s not just for celebrities or people chasing perfection.
Whether you’re looking to fix minor chips, close small gaps, or reshape your teeth, composite bonding in Bayswater, London, can be a practical, accessible, and effective solution. But there are still a few persistent myths floating around.
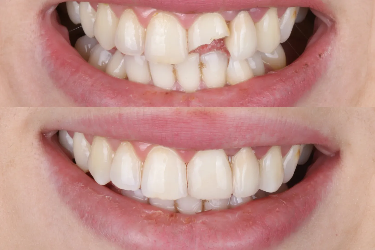
Before we start busting myths, it helps to know what we’re talking about. Composite bonding is a minimally invasive cosmetic dental procedure where a tooth-coloured resin is applied and sculpted to reshape or improve the appearance of your teeth.
Whether it’s for chips, small gaps, uneven edges or discolouration, composite bonding is often chosen as a quick and affordable solution that doesn’t usually require drilling or anaesthesia.
Freshdental offers composite bonding in Bayswater, London, making this popular treatment easily accessible.
Reality: One of the biggest misconceptions is that bonding permanently damages the tooth surface. In most cases, composite bonding is non-invasive and reversible. There’s no need to remove enamel or file down your tooth (unlike other procedures).
Composite bonding is a safe option for many patients. The material is bonded onto the tooth without altering its structure – making it a suitable choice for those wanting cosmetic changes without permanent impact.
Reality: If you’ve seen unnatural-looking smiles and assumed bonding is to blame – think again. When done with attention to detail, composite bonding blends seamlessly with your natural teeth.
At Freshdental, careful shade-matching and sculpting help ensure the final look is as natural and balanced as possible. No one should be able to spot the difference unless you tell them!
Reality: Longevity depends on a few factors – like your bite, lifestyle habits, and how well you care for your teeth. While bonding may not last as long as veneers or crowns, it certainly doesn’t wear out overnight.
Most people can expect composite bonding to last 4–7 years on average – sometimes even longer with good care. Avoiding habits like nail-biting or using teeth to open packets can help protect the results.
Reality: This one’s simply not true. While it’s wise to avoid very hard or sticky foods right after treatment, there’s no need to permanently change your diet. You can still enjoy your favourite meals – just use common sense.
Tea, coffee and red wine can gradually stain composite over time, so moderation and regular hygiene appointments are key.
Reality: Bonding is most commonly used on the front teeth for aesthetic reasons, but it’s not limited to them. It can also be used to rebuild worn edges, corners, or even small areas on back teeth in certain cases.
Freshdental provides individualised treatment plans for composite bonding in Bayswater, London – so placement always depends on your specific needs and dental health.
Reality: Please don’t. Some online shops are selling DIY bonding kits, but applying resin to your teeth without professional training can lead to damage, infection, and uneven results.
Composite bonding should always be done by a qualified dental professional who understands your oral health, facial proportions, and bite.
Reality: While bonding is largely a cosmetic procedure, it can offer functional improvements too. Closing small gaps may prevent food from getting trapped. Repairing chips or worn edges can protect the tooth from further wear.
That said, it’s not a substitute for orthodontic treatment or structural restoration – and it’s important to have a full dental assessment before deciding.
Reality: One of the biggest reasons people put off dental treatment is fear of pain. But bonding is generally pain-free. Since there’s no drilling or injections needed in most cases, it’s a comfortable experience for many.
Can composite bonding be done if I grind my teeth at night?
Yes, with precautions. Your dentist might recommend a night guard to protect the bonding from wear caused by bruxism. It’s best to disclose any habits like grinding or clenching beforehand.
Is composite bonding suitable for teenagers?
In some cases, yes. Because bonding doesn’t involve removing enamel, it’s sometimes used as a temporary solution for younger patients until their teeth are fully developed. A thorough consultation is essential.
Can I whiten my teeth after bonding?
Teeth whitening doesn’t work on bonded areas. If you’re considering whitening, it’s best to do that before bonding so your dentist can match the shade of resin accordingly.
If you’re looking for a subtle, non-permanent way to improve your smile, composite bonding could be a smart choice. It’s quick, usually done in one visit, and doesn’t involve drastic changes to your natural teeth.
At Freshdental, composite bonding is offered with a patient-first approach, focusing on safe, ethical and aesthetic dentistry that meets clinical standards. Every case is different – and your smile plan should be too.
Book a consultation at Freshdental today for composite bonding in Bayswater, London – and get the answers (and results) you’ve been waiting for. Call now or book online today.
I have just completed Invisalign treatment here and am thrilled with the results.
I have been seeing Monik at Freshdental for a while now and couldn't be happier with the service. I have just completed Invisalign treatment here and am thrilled with the results. Have recommended Monik to many of my friends & family and will continue to do to.